Ressources médicales
Articles

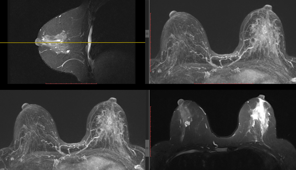
Le point sur l'IRM mammaire en 2019

Le cancer du sein est le cancer le plus fréquent chez la femme. C’est aussi celui qui cause le plus grand  nombre de décès : 18,2 % des décès féminins par cancer.


L’IRM des seins est une technique très performante pour la détection et l’évaluation des tumeurs. Elle ne remplace pas la mammographie ni l’échographie et ne constitue pas un examen systématique du diagnostic du cancer du sein. Il s’agit d’un examen de seconde intention, d’un outil supplémentaire que l’on emploie dans des indications précises.


Les premières expériences d’IRM mammaire ont débuté il y a 30 ans. Une sémiologie IRM a depuis été établie avec classification Bi-RADS (2013) spécifique à cette technique et les indications ont été validées.
La classification BI-RADS® IRM mammaire est basée sur des critères morphologiques (masse, rehaussement sans masse, focus), des critères cinétiques (le profil dynamique du rehaussement dans sa phase initiale (2 minutes) et sa phase tardive) et les signes associés. Suivant cette classification, une conduite à tenir est proposée.
 


COMMENT SE DÉROULE UNE IRM MAMMAIRE ?


Comme pour toute exploration par IRM, il convient d’éliminer les contre-indications habituelles (pacemaker, claustrophobie ...) et/ou à l’injection de Gadolinium.
Le moment optimal pour la réalisation de l’IRM par rapport au cycle menstruel est situé entre le J7 et J14. Chez les patientes ménopausées, l’IRM sera réalisée 6 semaines après l’arrêt du traitement hormonal substitutif.
Divers délais d’attente sont nécessaires en cas d’intervention préalable sur le sein : aucun après biopsie, 6 mois après chirurgie et 12 mois après radiothérapie.
En respectant ces consignes simples, on vise à une congestion minimale du parenchyme mammaire pour éviter les faux positifs.
L’injection de produit de contraste à base de Gadolium est systématique excepté quand l’indication est la suspicion d’une rupture intracapsulaire d’implant siliconé.
 

QUAND DEMANDER UNE IRM MAMMAIRE ?


L’IRM est un examen de deuxième intention après la mammographie et l’échographie. La sensibilité de l’IRM mammaire est très élevée pour les tumeurs mais sa spécificité reste moyenne (proche de 70 %, inférieure à celle de la mammographie) entrainant des faux positifs. Il est donc opportun de limiter les prescriptions d’IRM aux indications validées par les groupes d’experts (Eusoma, EJC 2010).



CONCLUSION


L’IRM mammaire n’est pas un examen de 1ère intention sauf chez les patientes mutées.
Il est établi que l’IRM, couplée à la mammographie, est l’examen de prédilection pour le dépistage chez les patientes à haut risque. L’IRM n’est pas recommandée en dépistage pour les patientes à faible risque de cancer du sein.


La décision du recours à l’IRM lors d’un diagnostic de cancer du sein doit se prendre en concertation oncologique multidisciplinaire. Les résultats de l’IRM doivent être discutés et validés par l’équipe multidisciplinaire en tenant compte des bénéfices, mais également des limites de l’examen avant d’apporter tout changement dans la stratégie thérapeutique.

Nos experts