Les uvéites regroupent l’ensemble des inflammations des structures oculaires. Elles peuvent toucher différentes parties de l’œil et se manifester de manière très variable selon leur localisation.

Symptômes 

  • Uvéites du segment antérieur 

Lorsqu’elles concernent la partie avant de l’œil, les uvéites peuvent entraîner : 

  • œil rouge ;
  • douleur ;
  • sensibilité accrue à la lumière (photophobie) ;
  • baisse de la vision.
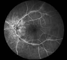
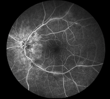
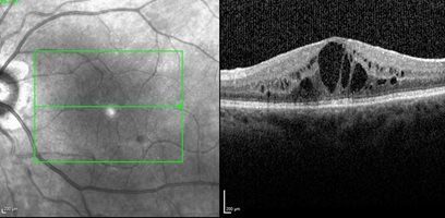
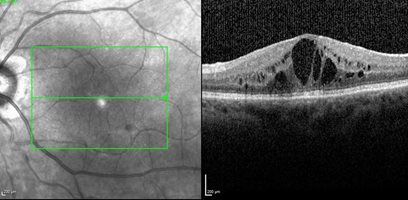
  • Uvéites du segment postérieur 

Lorsqu’elles atteignent la partie arrière de l’œil, les symptômes sont parfois plus discrets ou absents. Elles peuvent se manifester par : 

  • la perception de corps flottants ;
  • une baisse progressive de la vision. 

Origines des uvéites 

Les uvéites peuvent avoir des causes auto-immunes ou infectieuses. 

Elles peuvent être limitées à l’œil ou associées à des maladies systémiques inflammatoires. 

Du fait de la sensibilité des structures oculaires, une inflammation sévère ou répétée peut entraîner des atteintes durables, d’où l’importance d’une prise en charge spécialisée et régulière. 

Les uvéites s’accompagnent souvent d’un glaucome secondaire, dont le traitement est assuré en collaboration avec nos spécialistes du glaucome. 

Une prise en charge spécialisée 

Les uvéites sont des pathologies rares nécessitant : 

  • une expertise clinique spécifique,
  • des techniques avancées d’examens, d’imagerie et de prélèvements,
  • une coordination étroite avec d’autres spécialités médicales. 

À l’hôpital de la Citadelle, nous proposons une consultation spécialisée en uvéite, assurée par une équipe expérimentée. 

Un suivi multidisciplinaire   

La prise en charge repose sur une collaboration étroite avec plusieurs services spécialisés, notamment : 

  • Le Service de Rhumatologie,
  • Le Service des Maladies infectieuses et tropicales,
  • Le Service de Pédiatrie.  

Des réunions interdisciplinaires régulières permettent d’assurer une évaluation complète, un suivi continu, et de proposer les traitements les plus adaptés à chaque patient en fonction du contexte médical.