Ressources médicales
Articles

Un bénéfice de l’évolution technologique en médecine nucléaire : le développement des gamma-caméras à semi-conducteurs

La gamma-caméra utilisée en médecine nucléaire depuis plus de 50 ans, appelée caméra d’Anger, est composée d’un cristal scintillateur monobloc d’iodure de sodium (Na I) couplé à un ensemble de photomultiplicateurs qui amplifient le signal photo-électrique obtenu de l’interaction entre les photons lumineux créés suite à l’absorption de l’énergie des rayons gammas incidents par le cristal de Na I et une photocathode (fig. 1).
 


Figure 1 : Détection indirecte des photons incidents par le système d'Anger.


La mesure des courants obtenus en sortie de batterie des photomultiplicateurs fournit l’énergie du gamma incident. La position de son émission est donnée par le calcul du barycentre des réponses des photomultiplicateurs.
Ce mode de conversion du rayonnement gamma incident en signal électrique est donc un mode indirect (gamma → lumière puis lumière → charges électriques).


Il existe un autre mode de détection, direct, des photons gammas incidents. Celui-ci utilise le principe de l’ionisation du milieu détecteur.
L’interaction du gamma avec le détecteur crée directement des paires de charges électron-trou. Les électrons sont accélérés par un champ électrique et collectés par une anode puis intégrés dans un circuit dédié. Le milieu utilisé pour cette forme de détection des rayons gammas est appelé «semi-conducteur».
 


Quels sont les avantages d’une gamma-caméra à semi-conducteurs ?


Deux avantages majeurs sont issus de cette conversion directe des gammas en électrons au sein du détecteur semi-conducteur :

  • contrairement au scintillateur (cristal de Na I) dans lequel la lumière diffuse, ce qui affecte la résolution spatiale et influence le choix de l’épaisseur du cristal, dans le semi-conducteur, les charges collectées à l’endroit de l’interaction gamma sont canalisées par le champ électrique. Le détecteur peut donc être épais sans altération de la résolution spatiale du système.
  • de surcroît, le nombre de charges créées par l’interaction d’un gamma est 20 fois supérieur dans un semi-conducteur par rapport au cristal de Na I. Il en résulte une meilleure résolution en énergie (dépendant du nombre de charges collectées suite à l’interaction primaire) et une meilleure sensibilité de détection (fig. 2).


Figure 2 -  ©«vers les gamma-caméras à semi-conducteurs» revue de l’ACOMEN 1999, vol. 5, n°2


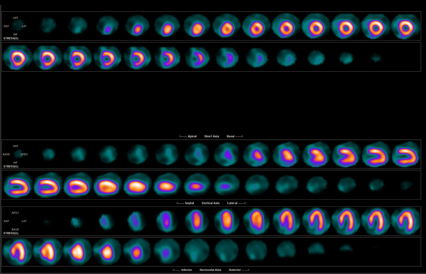
L’avantage principal final de ce type de caméra est sa capacité de comptage des gammas incidents potentiellement très élevée, permettant une réduction des temps d’acquisition, mais également et surtout une nette réduction de l’activité injectée au patient en obtenant une image optimale en médecine nucléaire diagnostique (fig. 3) avec une irradiation du patient minime.
 


Figure 3 : Scintigraphie myocardique normale sur la CZT.


Parmi les détecteurs semi-conducteurs fonctionnant à température ambiante, l’intérêt des industriels et des scientifiques s’est posé dès les années 90 sur le CdZn Te (Tellurure de cadmium/Zinc), aboutissant à la caméra CZT.
Le coût de production de ce type de détecteur a impliqué, dans un premier temps, des surfaces de détection limitées, d’abord à des sondes de localisation per-opératoire de petites masses, puis sous forme de modules de détecteurs de surface dédiés à la réalisation de scintimammographies et enfin orientées sur les applications cardiaques.


Actuellement, se développent des caméras à semi-conducteurs «grand champ» qui devraient progressivement remplacer le parc de gamma-caméras standards des services de médecine nucléaire actuels.
 


Moins d’irradiation

Le service de médecine nucléaire du CHR Liège a acquis en avril 2017 la première caméra CZT vendue en Wallonie. Celle-ci est dédiée à la cardiologie nucléaire. Cette caméra permet la réalisation de scintigraphies de perfusion myocardique, dont les performances diagnostiques et l’information pronostique ont été largement démontrées(1), après stress physiologique sur bicyclette ergométrique ou pharmacologique et au repos, dans des temps d’acquisition inférieurs à 10 minutes, garantissant un meilleur confort au patient, mais surtout, suite à l’injection d’activité de Tc99 au patient 4 à 5 fois inférieure aux activités classiques utilisées pour les examens réalisés sur gamma-caméra standard d’Anger (cristal de Na I) (fig 4).
 


Figure 4 :  En haut: 20 mCi Tc99m - 16 min. d’examen. En bas: 5 mCi Tc99m - 4 min. 35 d’examen.


Il en résulte forcément une irradiation du patient (et du personnel réalisant l’examen) 4 à 5 fois inférieure également, de l’ordre de 1 mSv par exploration.
Rappelons à ce stade que la tomoscintigraphie de perfusion myocardique (SPECT cardiaque) évalue la réserve coronaire, corrélée au degré de sténose coronaire et qu’en cas de scintigraphie normale, le taux d’évènements coronariens (décès, infarctus du myocarde) est inférieur à 1 % par an en moyenne (sauf chez les diabétiques et les insuffisants rénaux chroniques)(2). Si par contre la scintigraphie est anormale, le taux d’évènements coronariens est proportionnel à l’étendue et à l’intensité des défauts de perfusion induits par le stress.


En outre, la tomoscintigraphie myocardique synchronisée à l’ECG (ou Gated SPECT) pratiquée en routine depuis de nombreuses années permet l’évaluation de la cinétique pariétale du VG et la détermination de la fraction d’éjection ventriculaire gauche, qui constitue également un paramètre important à l’élaboration de la stratégie thérapeutique.


Néanmoins, la scintigraphie myocardique évalue la réserve coronaire de manière semi-quantitative. Il est notamment connu que l’interprétation qualitative des défects et de leur réversibilité (effort versus repos) peut être prise en défaut, en particulier chez les patients pluri-tronculaires (soit seule la sténose la plus sévère en terme d’ischémie d’aval sera démasquée, soit l’ischémie résultant d’une sténose des trois troncs coronaires avec chutes de débit équilibrées ne sera pas dépistée).


Seule une mesure quantitative du débit coronaire (en ml/min/g) et de la réserve coronaire garantit formellement le dépistage et l’évaluation du retentissement fonctionnel d’une/de sténose(s) coronaire(s).
Cette mesure est également permise de manière invasive en coronarographie (mesure du fractional flow reserve ou FFR). Elle est recommandée au degré IA avant un geste de dilatation coronaire par les guidelines de cardiologie.


Cette mesure est possible de manière non-invasive depuis une quinzaine d’années par la tomographie à émission de positons (PET).


Les études ont montré que la mesure non invasive de la réserve de débit coronaire par PET au Rubidium 82 constitue un facteur prédictif fiable du risque de mortalité chez les patients coronariens(3).
Or, les caractéristiques des semi-conducteurs offrent une meilleure sensibilité de détection et une meilleure résolution spatiale et en énergie permettant de réaliser de l’imagerie de perfusion myocardique ultrarapide, c’est-à-dire des acquisitions SPECT dynamiques.(4)


Ces acquisitions SPECT dynamiques permettent à leur tour d’obtenir des courbes temps/activité dont l’analyse fournit l’évolution des concentrations de l’activité injectée dans des volumes d’intérêt aboutissant à une mesure du débit coronaire en ml/min/g et de la réserve coronaire par comparaison du débit maximal lors de l’épreuve de stress et du débit de repos.


La caméra CZT a donc la capacité d’orienter le cardiologue dans la décision de sa stratégie thérapeutique (dilatation coronaire ou non en fonction du déficit de réserve coronaire) de manière non invasive.
Ce protocole d’acquisition dynamique n’est pas encore développé à la Citadelle mais c’est le prochain objectif de l’équipe médicale en cardiologie nucléaire.
 
 

Conclusion 
L’avènement d’un nouveau type de détecteur, à semi-conducteurs, en médecine nucléaire, dont s’est doté le service de médecine nucléaire du CHR Liège en vue d’applications cardiaques, permet d’optimiser les protocoles d’acquisition vers un meilleur confort du patient par des examens plus rapides mais également vers une irradiation moindre des patients, par l’injection d’activités 4 à 5 fois inférieures aux activités classiquement injectées.
Enfin, en cardiologie nucléaire, ce type de détecteur permet la mesure non-invasive du débit coronaire et de la réserve coronaire, offrant un outil diagnostique et pronostique fondamental dans le domaine de la cardiopathie ischémique.

Nos experts

Photo de Frédéric DAENEN

Dr Frédéric DAENEN

Service de Médecine nucléaire
Médecin Spécialiste en Médecine nucléaire