Ressources médicales
Articles

Body-Scanner et patient polytraumatisé

Le scanner corps entier (BODY-SCANNER) introduit en 2001 a révolutionné le bilan du patient polytraumatisé grâce aux évolutions techniques permettant un examen complet dans un laps de temps réduit à quelques minutes avec possibilité d’étude vasculaire. Le body-scanner a participé à la baisse de mortalité et de morbidité des patients polytraumatisés. L’exercice reste difficile pour le radiologue, consistant à interpréter des milliers d’images acquises dans des conditions d’urgences parfois vitales et de gardes souvent peu confortables (nombres d’heures prestées, nuit noire, patients multiples, pression des autres intervenants, stress …).


Depuis plusieurs années, la Citadelle est reconnu comme Trauma center de niveau 1, répondant aux plus grandes exigences dans la gestion du patient polytraumatisé. De nombreuses données des patients traumatisés ayant nécessité un passage en soins intensifs sont encodées dans le TraumaRegister de la DGU (Deutsche Gesellschaft für Unfallchirurgie) qui collecte ses données dans 675 hôpitaux (majoritairement allemands mais incluant aussi des centres dans 8 autres pays européens). Le TR-DGU représente au total 43.289 patients en 2017. L’analyse centralisée de ces données sur base annuelle permet de comparer les pratiques locales, les valider, les critiquer et, in fine, les améliorer.



Les causes de polytraumatisme à la Citadelle en 2017 se répartissent dégressivement comme suit : 28,1 % d’accidentés en voiture, 20 % de chutes de moins de 3m, 10,2 % d’accidentés en moto, 9,8 % de chutes de plus de 3m, 8,9 % de piétons accidentés, 5,9 % de suicides, 5,5 % d’accidentés en vélo et 5,1% d’agressions.
L’analyse des données du TR-DGU de 2017 nous montre plusieurs éléments intéressants pour la radiologie. Par exemple, le patient nécessitant un body-scanner à la Citadelle l’a obtenu en moyenne 17 minutes après son arrivée au Trauma center pour une moyenne de 22 minutes dans l’ensemble des hôpitaux du registre. Autre exemple, 96 % des patients avec un score de Glasgow < 14 ont eu une évaluation par scanner cérébral. Cette professionnalisation de l’activité est stimulante pour les équipes avec, comme objectif, l’amélioration continue de l’expertise des différents maillons de la prise en charge.


PEER-REVIEW


Nous avons récemment mis en place un système de peer-review (seconde lecture) pour tous les polytraumatisés hospitalisés en Unité de Soins Intensifs. Des études ont démontré qu’une partie non négligeable des lésions traumatiques sont manquées lors du bilan d’imagerie initial aux urgences (un article dans Radiology 2018 décrit un taux de 12,9 % de blessures manquées dont 2,5 % cliniquement significatives sur une série de 2.354 patients polytraumatisés). Nous sommes convaincus que la relecture à tête reposée du body-scanner par un second radiologue avec parfois de nouvelles informations fournies par le réanimateur participe à une meilleure prise en charge de ces patients gravement malades.
Le radiologue traite également un saignement persistant par voie endo-vasculaire. L’exemple le plus connu étant l’embolisation splénique. En pratique, tout saignement artériel focalisé mis en évidence par le body-scan peut être traité par le radiologue interventionnel.


L’amélioration continue de la prise en charge concerne chaque étape, du lieu de l’accident à la sortie du patient de revalidation. C’est un long chemin pour le patient polytraumatisé ; le service de radiologie et l’ensemble des intervenants de l’hôpital ont un rôle crucial à jouer pour lui.
 


      
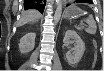
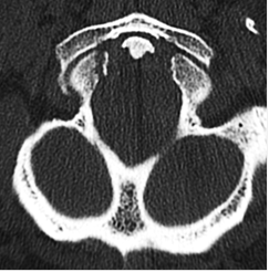
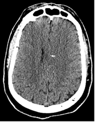
Figures ci-dessus : Accident de moto sur circuit, intubation sur place. Le body-scanner révèle un hématome sous dural supra-tentoriel gauche, de multiples petites contusions cérébrales hémorragiques, une fracture isolée du condyle occipital droit, une contusion du rein gauche avec lame d’hématome sous capsulaire.

Nos experts

Photo de Laurent MEDART

Dr Laurent MEDART

Service d'Imagerie médicale
Radiologue